脚后跟痛是病吗?

医学



 
        现在,越来越多的人受到脚部疼痛的困扰。据美国足病医学会的罗纳德博士说,该协会接到的患者咨询热线电话70%以上都和脚后跟有关。
 
 
 
足跟痛是因跟骨足底面所附着的肌肉、韧带随力量不均衡,使骨膜受到牵拉而引起的骨科疾病,现代医学称"跟骨骨膜炎",又称"跟骨骨刺"。
脚后跟痛是病吗? 
许多朋友有脚后跟痛的经历,一般来说出现这种情况经过一段时间的休息、按摩后会逐渐缓解,但如果反复发作,则可能是得了"跟痛症"。造成该疾病的原因很多,如外伤或退行性变后出现足跟脂肪垫萎缩、骨刺等。
由于跟痛症不是一种严重的疾病,往往容易被人忽视,有些老年人认为这是人体逐渐衰老的一种副产品,因此无须治疗,其实并非如此。对于跟痛症的人来说,一般休息、理疗、封闭、消炎镇痛药等均有助于改善症状,提高生活质量。也有学者认为:对于无外伤史的老年患者,跟痛症可能是其骨质疏松的警示,因为骨质疏松可以最早在跟骨表现出来。
总之,避免外伤、注意劳逸结合可以减少跟痛症的发病几率。预防骨质疏松也有利于跟痛症的预防和缓解。老年人一旦出现脚后跟痛应到医院检查、咨询。
脚后跟痛者当心犯"跟痛症"
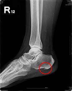
坐久了站起来时脚后跟痛,站久了走起来脚后跟痛,没有拉伤也没有扭伤,没有肿也没有破,为何脚后跟如此痛?不少中老年妇女在骨科门诊中或疼痛科门诊中常常会这样描述自己的困扰?倘若接受X光片照射,可以看到足跟部位出现了骨质增生,其余一切正常。其实,这是一种病症。学名叫"跟痛症"。
跟痛症是指多种足跟部疼痛综合症,主要指足跟底面疼痛,目前认为有跖腱膜炎、脂肪垫劳损、神经卡压等均可造成足跟痛,其中跟骨结节周围由慢性劳损所引起的以疼痛及行走困难为主的病症,主要是跖腱膜或跟腱附着处的慢性炎症。
跟骨是人体负重的主要部分,人体在站立时有50%以上的体重是由跟骨与距骨来承担的,中老年人,由于跟骨后内侧的骨质增生、跟骨脂肪垫的萎缩、跖腱膜的弹性减弱,加上骨质疏松,当长时间站立、行走时易诱发此病。跟痛症主要为足跟底部钝痛且持续,跟腱附着处也可肿胀、压痛。
脚后跟疼咋回事
李女士:我今年51岁,最近两年开始脚后跟疼痛,有硬块,压痛,严重时脚后跟不能着地,还有大脚趾发麻。我是个糖尿病病人,我想问问我这症状是怎么回事,是否跟糖尿病有关。
张慧玲答:脚后跟疼考虑两种可能:如果是隐隐的疼,而且是累了之后疼痛加重,有可能是肾虚,可以考虑吃些补肾强筋骨的药;如果是尖疼,疼痛比较剧烈,则有可能是增生,治疗上可以做个小手术,也可以吃治疗骨质增生的中成药,疼痛难忍的话可以加服止疼药。大脚趾发麻有可能是糖尿病的并发症,如果不放心,可以去相关科室做个检查。
韧带发炎
绝大多数的脚后跟疼痛都是由于韧带发炎引起的。人的脚后跟由33个关节和100多块肌腱和韧带组成,脚底的韧带紧连着跟骨的底端,当人行走时,巨大的牵拉力集中在跟骨下面韧带上一个狭窄的区域内,反复的牵拉摩擦容易导致韧带和骨骼结合部位发炎,造成疼痛。同时,体重也和后跟疼痛有一定关系,一般来说,较胖的人更容易患后跟疼痛。
鞋子
鞋子是引起后跟疼痛的主要原因之一。脚部的骨骼、肌肉和韧带承受着人的整个体重,这就要求鞋子充分地支持足弓,使脚掌受力均匀,使韧带得到适当的放松。但是,有的制造商为降低成本,在鞋子的内部结构上偷工减料,导致鞋内的构造不能有效地支撑足弓,力量集中于脚掌的某一部分,这样会加大韧带的压力,使韧带更容易发炎。

 
请爱惜自己的身体,预防跟痛症的发生
1、每日用温水洗脚,保持血液循环,减轻局部炎症。
2、防寒保暖。冬季要特别注意足部保暖,避免寒冷剌激。
3、鞋的大小要合适,质地柔软、宽松,能让所有脚趾平放和略为活动。鞋底要有一定的厚度,外硬里软,尤其鞋跟里面要有弹性,鞋内最好垫有薄的鞋垫,这样能将自身的体重平均分配,鞋底过薄过软还容易损伤足部。
4、长途行走或长时间站立时要有科学的步态及姿势,避免足部持续负重,防止足部过度疲劳。
5、选择适合自己的运动,如散步、游泳、打太极拳等,可促进机体的新陈代谢,使骨的韧性增加,骨质增长。行动不方便者,每天可做足部肌肉的收缩锻炼,以增强足底肌的肌力,减缓韧带蜕变松弛的进展。
6、高钙饮食,如海带、紫菜、酥鱼、海藻、芝麻酱等,含维生素C丰富的食物如新鲜的蔬菜和水果,多吃豆腐、豆浆等豆类物质。100克豆腐渣中含钙100毫克,几乎与牛奶的含钙量相等,是最价廉、最易得的补钙佳品。
7、体重不要超重,以减轻足部的压力。
请爱惜自己的身体,及时治疗跟痛症——
跟痛症看似小问题,但是一旦发作起来,疼痛还是严重影响了患者的正常生活,如何面对跟痛症呢?一般情况下,医生建议采取保守治疗,如果保守治疗无效,疼痛继续恶化时才考虑手术治疗。
保守治疗:跟痛症发作时,可应用消炎止痛药物、理疗、局部封闭等手段来缓解疼痛。还可以应用特殊的足跟支具,通过减轻跖腱膜的张力来止痛。
手术治疗:进行关节镜下手术治疗,切除增生骨质。
运动后慎防跟腱炎
跟腱炎是影响踝关节的一个常见疾病。跟腱是位于踝关节后方的一条大的肌腱,连接着小腿后方的肌肉群到跟骨,行走、奔跑、攀登等运动都依仗它。
超负荷的运动、频繁在硬性地面如公路上奔跑、爬山等运动造成跟腱过度使用,均容易导致跟腱内的纤维发生慢性损伤,从而引起跟腱炎。在临床工作中,我们遇到的患者中大约有11%的人是因跑步之类的运动损伤引发跟腱炎,跟腱由于血供不充分因而愈合缓慢。
跟腱炎的典型症状是足跟部上方的疼痛,活动后加剧。急性期患者在走路、跑步等运动时出现跟腱疼痛、肿胀,皮肤发红发烫。慢性期患者则会在清晨起床下地时感觉跟腱处疼痛或僵硬,走路(尤其是爬山、上楼时)感觉跟腱处疼痛。
在治疗上,急性期患者应注意休息并采用局部冷敷,垫高鞋跟减少跟腱张力,以及局部外敷药物和口服消炎镇痛药物促进局部炎症消退。此外,患者还可以配合局部超声疗法及电刺激疗法等物理治疗。症状严重者可通过局部封闭治疗缓解疼痛,但注意避免反复封闭引起跟腱断裂。保守治疗6月以上症状仍未减轻的患者可以考虑手术治疗,切除止点部炎性组织、滑囊和退变的跟腱及增生的跟骨后上结节。
一般来说,大多数患者通常能够完全恢复,但需要很长时间,因为跟腱在每一步的行走中都会受到牵拉。因此,跟腱炎的预防和保养尤为重要,市民应注意提高小腿和踝关节处的肌肉、肌腱和韧带的力量,养成良好的运动习惯,如做到运动前热身、运动后适当放松。此外,我们平时穿鞋大小要合适,避免跟腱部的反复磨擦引发跟腱炎。
6种脚部不适暗示身体隐藏疾病
双脚直立行走是人类区别于其它动物的一个重要标志,带人类走过无数美丽的风景。然而,脚有极易患病,据调查,每两个人中就有一人患脚病。当我们的双脚出现6种不适时,要特别当心,这有可能是身体疾病的信号。
一、脚掌疼
走路、站立或按压时,拇指关节和脚掌疼痛,但没有红肿,可能是足底肌群损伤,可以每晚用热水泡脚;
脚掌疼的同时,第三或第四脚趾也出现疼痛,可能是长期穿高跟鞋惹的祸。建议高跟鞋与平跟鞋换着穿,如果必须穿,最好要选宽头、厚鞋底的鞋;
如是没有原因的脚掌疼痛,同时有口渴、尿频、容易饿、体重减轻等症状时,就要考虑是否患有糖尿病了。
二、脚跟疼绝大多数的脚后跟疼痛都是由于韧带发炎引起的,而鞋子不合适是主要原因。长时间穿鞋底过硬、过软或太薄的鞋,都会出问题。另外,较胖的人也容易脚后跟疼。
专家指出,护好脚后跟,先要选好鞋,买鞋一定要合脚,脚趾前留一横指的距离,少穿鞋底太薄的平底鞋。
三、脚趾甲厚重、发黄
通常由霉菌感染引起,人们毫无知觉,但这种感染很快会波及全部脚趾甲,导致其发出难闻的味道,颜色变深。如指甲松脆,说明是脚气感染,但如果只是指甲厚,可能是脚趾受损。
四、两脚麻
健康人手脚麻木,多是双脚长时间处于一种姿势导致,这种症状会自己消失,但如果持续时间较长,或反复发作,时轻时重,就可能是疾病引起的病理性麻木,如血栓性脉管炎等,应该引起重视。
五、脚肿
除了久站、久坐或下蹲,引起的脚肿,以及女性经期、孕期出现的浮肿外,两脚不明原因的肿胀,可能是心脏病、内分泌等疾病的信号。
六、脚抽筋
睡觉时总是脚抽筋,应该增加钙、钾和镁的摄入。脚抽筋时,可以按摩疼痛部位,也可以冷敷。为了避免抽筋,睡觉前可伸伸脚。



文章评论