腹部ct解读

个人日记


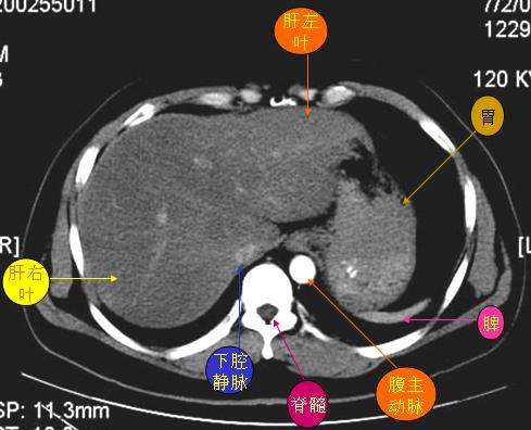
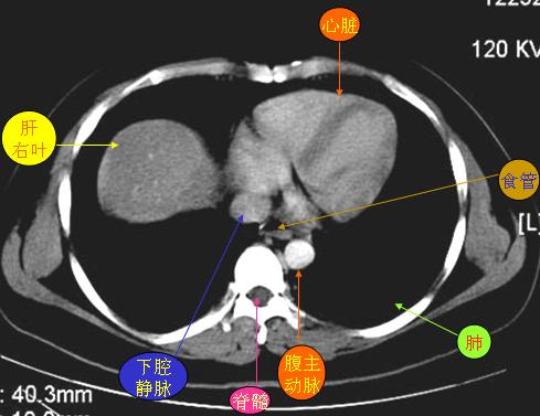
 腹部ct解剖与基本病变 
比较简单,可能大家都知道,当作复习一下。 
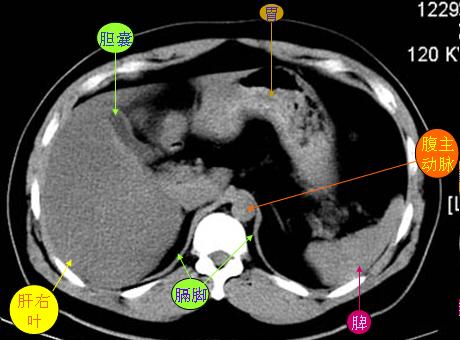
第一部分 
 
 
 
 
 
 
 
 
 
 

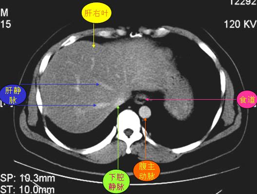
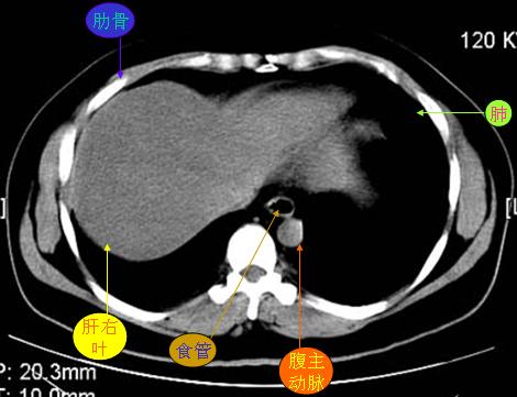
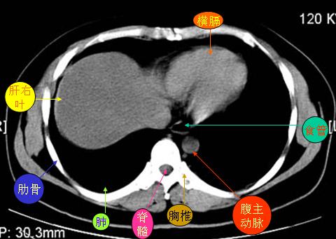
第二部分 
 
 
 
 
 
 
 
 
 
 

腹部ct解剖与基本病变
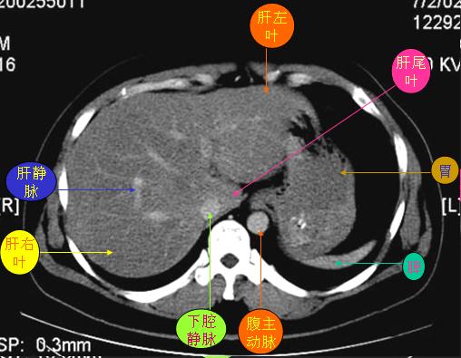
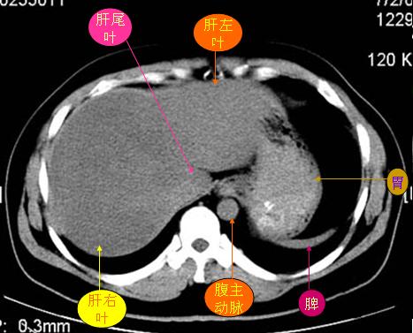
第四部分(完) 
 
 
 
 
 
 
 
 
 
 
 
 
 
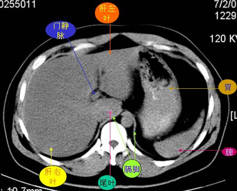
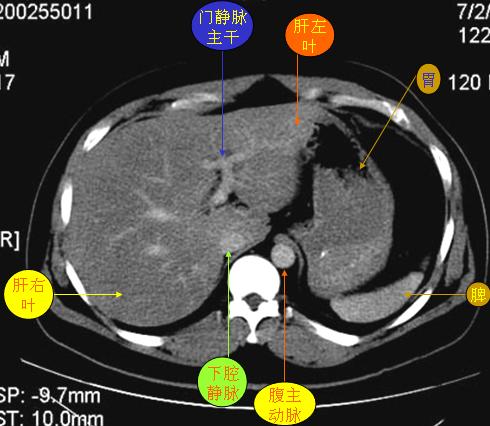
第三部分 
 
 
 
 
 
 
 
 
 
 

文章评论

3090456863

谨慎出言,才能少生事端;三思量行,才会少生遗憾。