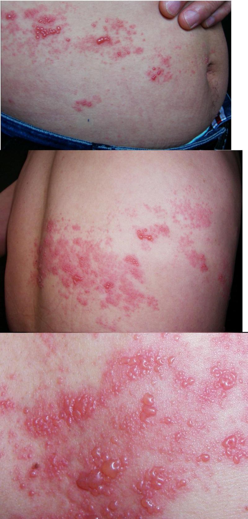
 方法:病灶局部常规消毒.用梅花针扣刺疱疹及病变范围, 皮肤微出血.然后用闪火法拔罐.拔出红黄相间的液体.消毒卫生纸擦净. 注意: 1.毒液一定要拔净,一次拔不净,要反复拔,直到干净为止. 2.病变部位一定要拔严,不留空位. 说明; 1.用本方法治疗完毕后,立刻止痛.有的患者病变部位被衣被接触即疼痛难忍,但是在拔罐过程中,只有轻微的拔罐造成的抽吸感. 2.病变部位糜烂的,不需梅花针扣刺,直接拔罐 既可.拔完后,用红外线烤干. 3.有的部位用拔罐无法操作时,可用10---20毫升的注射针管,切去头部,对准病变部位,抽吸针柄,可起到和拔罐同样的效果.现在则 用 真空拔罐代替. 4.操作完毕后.我一般不再消毒处理.也无感染的病例.但是,为了操作规范,请大家在运用时,自己掌握. 5.此方法优于其他方法.我治疗将近100例,均一次治愈. 春秋两季是带状疱疹高发期,该病是一种同时损及神经和皮肤的病毒性疾病。病毒侵入周围神经后,皮肤上出现簇集成群的栗粒至绿豆大小红丘疹,1-2天内迅速演变成圆形水疱。灼热刺痛,痛如火燎,夜南乘寐,伴有口干口苦,溲赤便秘结,脉弦数,舌质红,苔薄黄或干黄。其特点是疱疹沿神经走向陆续出现,只在身体一侧发病,不越过躯体中线,属中医蛇串疮范围。 有的带状疱疹患者,出现皮疹时间较晚就容易被误诊;如上肢的疼痛误诊为颈椎引起的臂丛神经痛;胸部的阵发性疼痛误诊为冠心病或肋间神经痛;腹部的剧烈疼痛因缺乏明显的压痛.反跳痛.腹肌紧张等体征,误诊为胆结石.胆囊炎及泌尿系结石或肠痉挛等。头部的疱疹出现前,患者先感到偏头痛.眼痛.结膜充血.流泪视物不清等症状,而误诊为青光眼或其他眼疾;耳部的疱疹因先期耳鸣.听力下降.眩晕头痛.恶心呕吐等症状,易误诊为颅内疾患。 带状疱疹患者如诊治不及时或治疗不得当,可造成多种危害,患者可遗留顽固性神经病痛,发生耳部的带状疱疹常伴随内耳功能障碍,当累及膝状神经节时可发生面瘫,眼部的带状疱疹可引起眼球各部的记性炎症,因瘢痕形成而招致失明。躯体患带状疱疹,皮肤表面复原后,内部肌肉组织.神经都有长时间的胀痛和跳痛感。 带状疱疹最佳治疗期,是小丘疹出现7天内治疗,方法是内服.外涂。“千万不可采用烤电.针刺(特别是火针).放血.拔罐等治疗方法。” 患病期间,病人要保持情绪稳定,不急不燥,不要喝酒和吃辛辣食物,不要吃牛羊肉.海鲜之类发物,不要用液体清洗患部,尽量将患部暴露在外,不要同婴幼儿接触,因为带状疱疹是病毒性疾病会传染给婴幼儿,导致婴幼儿出水痘。如没有治疗方法请尽快与我联系。 |
|
文章评论