通血管的古方,花2分钟给父母超级大礼!强烈推荐!请在这里输入日志标题

个人日记

 通血管的古方,花2分钟给父母超级大礼!强烈推荐!

2014-02-11人生奇迹

通血管的古方,不管多严重都能通!

让你的朋友也尽快得到这个很重要的资讯吧


现在80,90后 父母有些已经遇到类似的问题了,请您花费2分钟认真阅读完它,或许对您身边的亲人朋友有一点帮助一点希望。


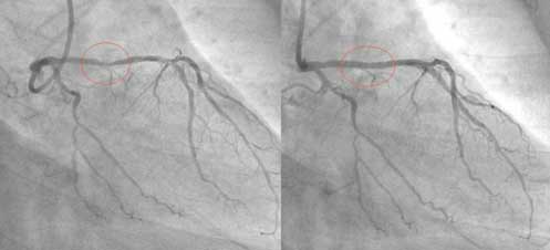
一位居住在伦敦的人的亲身经历,他去巴基斯坦开会的时候,突然胸口剧痛,后来被医院验出来,他的三条心血管已经被严重堵塞,需要做搭桥手术。手术的时间是一个月以后,在这个期间,他去看一位 回教国家古法治疗师。

这位 Hakim让他自己在家中做一个食疗,他吃了一个月。一个月后他去同一家医院做检查,发现三条血管干干净净,原来堵塞的地方已经全通了。他是一位虔诚的回教徒,为了让更多的人受益,他把自己的经验放在网上分享,他的前后两张血管照片也放了在网上,在照片中,服用食疗之前与之后的分别连普通人也看得出来。


所需原料:

1 杯柠檬汁

1 杯姜汁

1 杯大蒜汁

1 杯苹果醋


制作方法:

1. 蒜头去皮,姜去皮切小片,放入榨汁机榨汁,或者放入搅拌器打成浆,用网布隔渣,绞出汁。


2. 将蒜头、姜汁放入瓦煲,加入柠檬汁与苹果醋,大火滚,小火慢煮,不要盖锅盖,让水份蒸发,大约需要半小时,剩下大约一半汁液。

3. 温度降下后,加入蜜糖,仔细搅匀,蜜糖可能需要很多,主要是令汁液容易入口。

4. 将成品储在有盖的玻璃瓶中,放入雪柜。


服用方法:

每天早餐前服用一汤匙。大部分人的心血管疾病能得到根治。也可当作饮料,预防心血管疾病和高血压、预防感冒等疾病。

吃上一个月以后去医院做次检查,会发现血管干干净净,堵塞的地方已经全通了。
必须存!必须转!


打通血管绝密配方,给亲爱的人试试

将本文分享给朋友,朋友会爱死你

文章评论